Progettazione
Lo studio approfondito nel tempo nelle tecniche digitali insieme ad i migliori software ci
permettono di supportarvi anche nei casi più complessi, dalla protesi cementata alla Chirurgia
guidata
Formazione
Corsi Base ed avanzati sia su software di scansione intraorale che su quelli CAD-CAM. Utilizzo
pratico di scanner intraorali e da banco.
Produzione
L’utilizzo di software aperti in combinazione con macchine CNC di derivazione industriale, ci
permettono di realizzare le anatomie più complesse mantenendo sempre la cura del dettaglio. Produciamo con tutti i materiali: Zirconia, Composito, Titanio, CrCo, Polimeri, PEEK, Fibra, Cera, Disilicato.
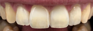
Anatomica integrale in zirconio su 1.1
Odontotecnica Tradizionale
Oltre 40 anni di esperienza nel cercare soluzioni a disposizione dei vostri progetti. Protesi su
impianti, rimovibile e cementate.






